UR’s new Faculty of Informatics and Data Science conducts research at the interface of a wide range of different disciplines, including medicine, biology, and business economics.
How can interdisciplinary and multiscalar approaches be used to better understand spatially distinct cultural systems as well as global interconnectivity? Researchers in Regensburg are leading the way in looking for answers.
SciFiMed is a multi-disciplinary project that combines fundamental immunological research with novel nanomaterial biosensor development translated into proof-of-principle diagnostics. International experts as well as biotechnology enterprises and health institutions are involved in the project.
Theological findings on apocryphal writings: Could they foster conflict resolution? Yes they could, say scholars at the Regensburg Centre for Advanced Studies Beyond Canon_.
At RCI, the Regensburg Center for Interventional Immunology, international research groups develop immunotherapies and cellular therapies in order to help treating patients suffering from tumors, chronic inflammation or autoimmunity.
Rupert Huber’s experimental work in terahertz and solid-state physics at the interface of optics and electronics is internationally renowned. His fundamental research is used in ultrafast atomic-resolution microscopes and quantum information processing.
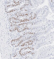
Regulatorische T-Zellen (Tregs), eine Untergruppe von Immunzellen, gelten normalerweise als „Friedenswächter“, die eine Überreaktion des Immunsystems verhindern. Überraschenderweise zeigt eine neue Studie, veröffentlicht in „Signal Transduction and Targeted Therapy“, dass Tregs Entzündungssignale nutzen, um nach einer Krebstherapie Reparaturprozesse zu starten. Die von der LIT-Kooperationsgruppe „Innate Immunstimulation bei Krebs und Transplantationen“ mit der Klinik und Poliklinik für RadioOnkologie und Strahlentherapie der TU München (TUM) durchgeführte Untersuchung zeigt, wie das Immunsystem verwendet werden kann, um die Darmschleimhaut zu regenerieren und das Überleben zu verbessern.
Patienten, die Tumortherapien wie Bestrahlung oder Stammzelltransplantationen erhalten, leiden häufig unter schweren Schädigungen der Darmschleimhaut. Sie leiden nicht nur unter den Schmerzen und Komplikationen, sondern haben auch langfristig schlechtere Behandlungsergebnisse. Eine Studie der LIT-Kooperationsgruppe „Innate Immunstimulation bei Krebs und Transplantationen" im Journal „Nature Communications“ zeigt, wie ein bakterielles Stoffwechselprodukt die Darmbarriere schützt und die Regeneration der Darmschleimhaut durch Stammzellen fördert. Die Ergebnisse verdeutlichen zudem, dass das mikrobielle Produkt auch die Immunabwehr gegen Leukämie stärkt.
Neue Studie zeigt, welche Merkmale wir nutzen, um menschliches Verhalten zu erkennen und zu kategorisieren
Ein DIMAS-Forschungsprojekt an der Universität Regensburg zur Geschichte der Beziehungen zwischen der Islamischen Republik Iran, dem Irak und den Vereinigten Staaten von Amerika in den Jahren 1991 bis 2003 wird von der Fritz Thyssen Stiftung gefördert.