27 November 2025 Clara Stark, Stabsstelle „Strategische Entwicklung“, TUM

Sascha Göttert (left) and Prof. Hendrik Poeck Clara Stark, © LIT

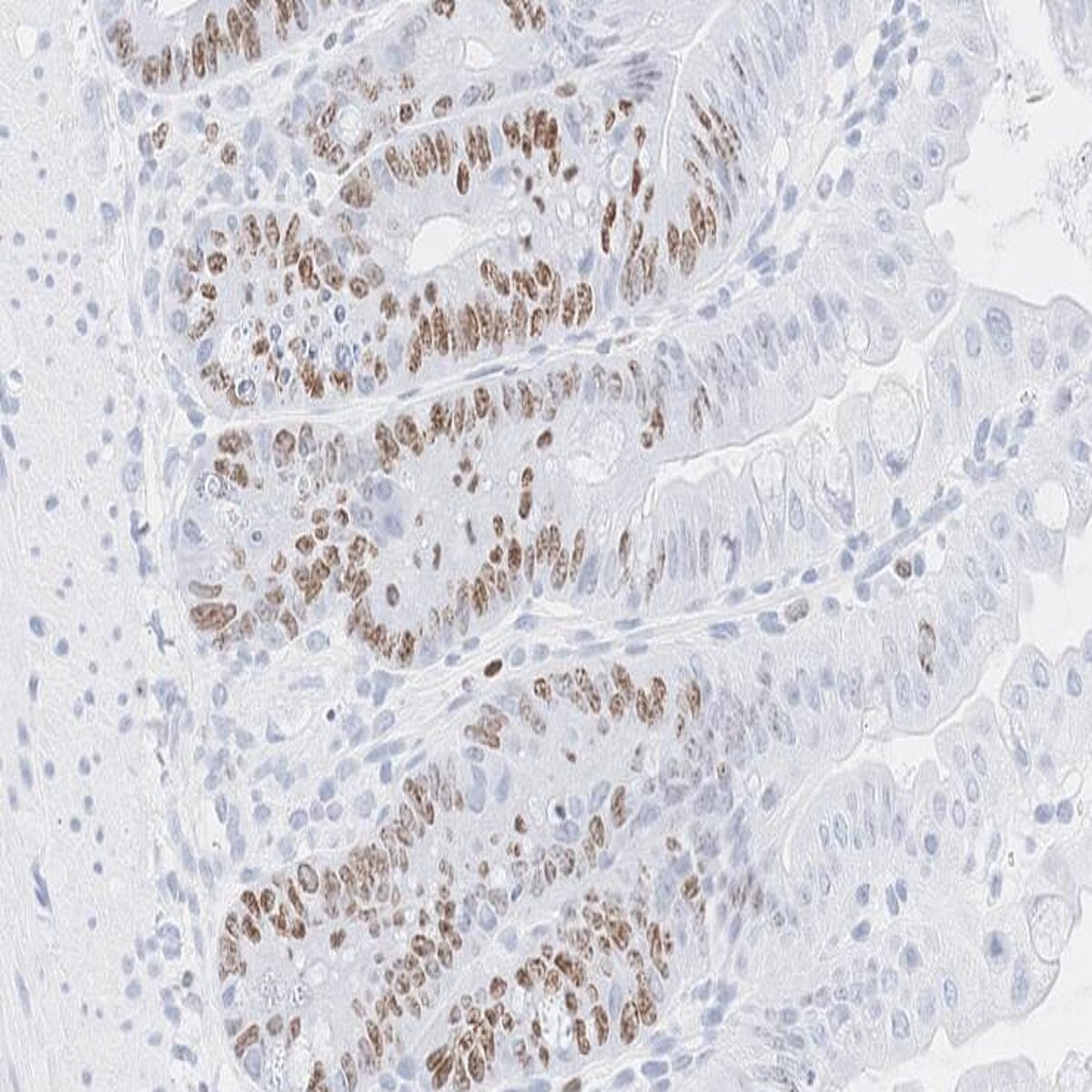
Intestines one week after abdominal irradiation, showing proliferating epithelial cells (in brown) © TUM

Regulatory T cells (Tregs), a specialized type of immune cells, are usually seen as “peacekeepers” that prevent excessive immune attacks. Surprisingly, a new study published in “Signal Transduction and Targeted Therapy” shows that Tregs utilize inflammatory signals to start repair processes following cancer therapy. The research conducted by the LIT Cooperation Group “Innate Immune Sensing in Cancer and Transplantation” in cooperation with researchers from the Department of Radiation Oncology at the Technical University of Munich (TUM) uncovers how the body`s own immune system can be harnessed to repair the intestinal lining and improve survival.

Until now, inflammation in the intestine was primarily considered harmful. “Now we have seen that under certain conditions the immune system uses inflammatory signals for starting healing,” Prof. Hendrik Poeck, Managing Senior Physician at the Clinic and Polyclinic for Internal Medicine III at University Hospital Regensburg (UKR) and Head of the LIT Cooperation Group “Innate Immune Sensing in Cancer and Transplantation”, summarizes the results. “These findings could have important clinical implications for many patients undergoing cancer treatments that harm the intestine,” explains Dr. Julius Fischer, first and corresponding author of the study, research group leader, and specialist in radiation oncology at the TUM School of Medicine and Health at TUM University Hospital.

Two molecules IFNγ and IL-10 with combined effects on the gut`s natural repair units

PhD student and first author of the study, Sascha Göttert, from the Clinic and Polyclinic for Internal Medicine III at UKR, discovered that in both mouse models and patient samples, Tregs produce two inflammation-associated molecules that work together to stimulate intestinal stem cells: “We found that interferon-gamma (IFNγ) and interleukin-10 (IL-10) act in concert to influence the gut’s natural repair units,” explains Göttert. While IFNγ alone triggers rapid cell growth but exhausts the intestinal stem cell pool, and IL-10 alone provides only weak support, their combination delivers a powerful yet sustainable repair signal. This cooperation supports both rapid healing and long-term regeneration of the gut following immune- and radiation-related injuries, such as after stem cell transplantation or abdominal irradiation.

Study underscores the central role of intestinal stem cells and Tregs as “master repairers”

Patients receiving intensive cancer treatments - such as radiation or stem cell transplantation - often suffer from severe damage to the intestinal lining. “This not only causes painful inflammation and infectious complications but also worsens long-term clinical outcomes,” says Dr. Julius Fischer. Following the results, the immune system`s own repair program seems to play an important role in protecting the gut during cancer therapy: “This study highlights the interplay of intestinal stem cells and Tregs that release immune signaling molecules as master repairers for injured tissues,” Prof. Hendrik Poeck, Head of the LIT Cooperation Group “Innate Immune Sensing in Cancer and Transplantation” constats. Uncovering these processes has the potential to enable new therapeutic strategies to promote intestinal repair.

Tissue-healing therapies could transform cancer outcomes

Just recently, a “Nature Communications” study by Poeck´s team showed that intestinal bacteria or a specific metabolite can also strengthen intestinal stem cells to prevent tissue injury following transplantation. Both studies seen in combination mean important translational progress in the treatment of severe side effects of cancer and transplant therapies - on the one hand through the targeted use of engineered immune cells that produce certain immune molecules, and on the other hand through microbiota-derived preparations or nutritional strategies. Led by researchers from the UKR and LIT, both approaches are advancing toward early clinical trials within the National Center for Tumor Diseases (NCT) network, targeting patients undergoing transplantation or CAR T-cell therapy for blood cancers.

About the Leibniz Institute for Immunotherapy (LIT)

The LIT is an institute within the Leibniz Association located in Regensburg, Germany. Our mission is to develop innovative therapies for the treatment of cancer, autoimmunity, and chronic inflammation. By reprogramming immune cells through synthetic and pharmacological strategies, we build cells that save lives.

Contact for scientific information:

Prof. Dr. med. Hendrik Poeck
Head of LIT Cooperation Group Innate Immune Sensing in Cancer & Transplantation
LIT – Leibniz Institute for Immunotherapy
c/o University Hospital Regensburg
Franz-Josef-Strauß-Allee 11
93053 Regensburg
Managing Senior Physician
Leukemias, Stem cell transplantation & Cellular therapies
Klinik und Poliklinik für Innere Medizin III (Hämatologie und Onkologie)
Universitätsklinikum Regensburg
phone: +49 941 944-5542
email: hendrik.poeck@klinik.uni-regensburg.de

Dr. med. Sci. Julius C. Fischer
Clinician Scientist and Junior Research Group Leader “RadioImmunoOncology”
Department of Radiation Oncology
TUM University Hospital
Ismaninger Str. 22
81675 Munich
phone: +49 89 4140 4501
email: julius.fischer@tum.de

Original publication:

Fischer, J. C., Göttert, S., Giller, M. et al. Tissue-adapted Tregs harness inflammatory signals to promote intestinal repair from therapy-related injury. Signal Transduct. Target. Ther. 10, 384 (2025) https://doi.org/10.1038/s41392-025-02476-5 

Source: https://idw-online.de/de/news862340

Back to top Icon